Tibial Condylar Valgus Osteotomy (TCVO) in Nagpur
Quick Enquiry
A Joint Preservation Surgery by Dr. Siddharth Jain
When knee pain starts affecting your walk, sleep, or even your confidence, it’s natural to worry that “knee replacement” might be your only option.
But sometimes, your knee doesn’t need to be replaced; it just needs to be rebalanced.
That’s what Tibial Condylar Valgus Osteotomy (TCVO) does.
It’s a special joint-preserving surgery that corrects the shape and balance of your knee joint, allowing you to keep your natural knee for many more years.
At Nagpur Arthroscopy & Sports Injury Centre, Dr. Siddharth Jain, a fellowship-trained arthroscopy and joint-preservation specialist, performs TCVO in Nagpur to help patients walk pain-free again — without rushing into joint replacement.
What Exactly Happens in Knee Arthritis?
Your knee is like a hinge, and it is made of three bones that glide smoothly over each other with the help of cartilage.
When one side of the knee starts to wear out faster than the other (usually the inner side), the knee begins to tilt.
In the early stages, simple realignment with High Tibial Osteotomy (HTO) can correct it.
But in more advanced cases, the bone surface itself becomes uneven or sinks in, making the joint unstable and painful.
That’s when TCVO is recommended.
What Is TCVO?
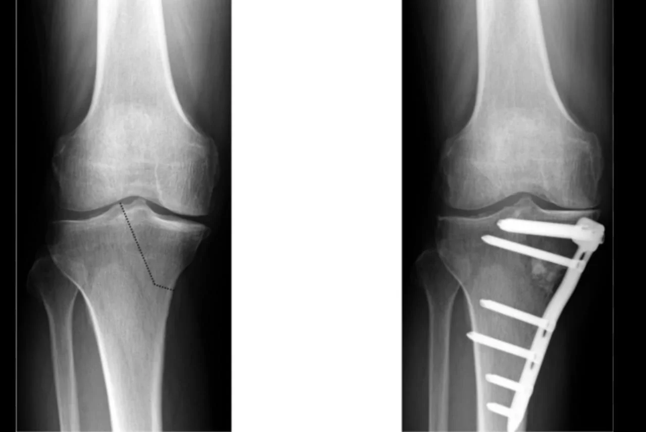
Tibial Condylar Valgus Osteotomy (TCVO) is a surgical procedure that gently reshapes the top part of the shin bone (tibia) to restore the natural slope and balance of your knee joint.
In simpler words —
“HTO straightens your leg; TCVO reshapes the knee joint itself.”
By correcting both bone shape and alignment, TCVO helps the knee evenly distribute weight again.
It relieves pain, improves movement, and can delay or avoid knee replacement.
Who Might Need TCVO?
You might be a candidate for TCVO if:
- You have pain on the inner side of the knee that has worsened over time.
- You were told you have “advanced arthritis,” but still have some healthy joint surface left.
- Your leg looks bowed, or the knee feels unstable.
- X-rays show collapse or depression of the inner side of the tibial bone.
- You’re active and under 65, and you wish to postpone joint replacement.
If you are looking for knee deformity correction in Nagpur or advanced osteoarthritis treatment, the TCVO treatment offered by Dr. Siddharth is worth considering.
What Does the Surgery Involve?
Anaesthesia & Planning
The procedure is done under spinal or general anaesthesia with detailed X-ray and 3D planning.
Precise Bone Correction
A controlled cut (osteotomy) is made at the top of the tibia. The collapsed part is lifted to restore the knee joint's natural shape and angle.
Fixation
A small metal plate and screws hold the bone in its new position.
Closure
The incision is closed, and you’ll have a light dressing and support bandage.
The entire procedure takes about 1–2 hours.
How Is TCVO Different from HTO?
You might benefit from shoulder arthroscopy if you have:
Aspect | HTO | TCVO |
Focus | Straightens the leg (outside the joint) | Corrects the shape inside the joint |
Best for | Early arthritis / mild bow-leg | Moderate-to-advanced arthritis with bone collapse |
Goal | Shift the weight away from the damaged side | Rebuild the depressed side + restore joint balance |
Type of correction | Extra-articular | Intra-articular (within joint) |
If your doctor says you have “joint surface collapse” or “instability,” TCVO is the better option.
Benefits of TCVO - a Knee Preservation Surgery in Nagpur
- Preserves your own knee joint — no artificial implant needed
- Relieves pain caused by uneven joint pressure
- Improves alignment and walking posture
- Restores stability in knees that feel loose or deformed
- Delays or avoids knee replacement.
- You can return to daily life with better comfort and confidence.
Recovery After TCVO
Recovery takes patience — but it’s worth it.
- Hospital stay: 2–3 days
- Walking with support: within 1 week
- Physiotherapy: starts early to maintain motion
- Full weight-bearing: around 8 weeks
- Return to office or routine work: about 6 weeks.
- Sports / heavy activity: after 3–4 months
Dr. Jain’s rehabilitation team designs an exercise plan to gradually and safely restore strength.
What Patients Often Ask
Is TCVO a major surgery?
It’s a controlled, planned procedure done with modern tools.
Compared to knee replacement, it’s smaller in scale and focuses on reshaping rather than replacing.
Will I be able to walk normally again?
Yes. You’ll start walking with support in a few days and regain natural walking in a few weeks with guided rehab.
How long does it last?
When done at the right stage, TCVO results can last 10–15 years or more.
Does TCVO replace knee replacement surgery?
For many patients, yes — it delays or avoids the need for replacement by preserving the joint’s healthy areas.
Is it painful?
You won’t feel pain during surgery (done under anaesthesia).
Post-surgery discomfort is mild and well-controlled with medicines.
How is it different from stem cell or PRP therapy?
Stem cells and PRP focus on healing cartilage; TCVO focuses on re-shaping bone alignment.
Sometimes, both can be combined for better results.
When the Knee Loses Its Shape, TCVO Helps It Find Balance Again
If HTO is about straightening your leg,
TCVO is about reshaping the knee itself so that it moves smoothly again.
It’s a thoughtful step between conservative treatment and replacement for people who still want to walk, climb, and live life on their own knees.